關閉

深圳爱康健口腔医院 00852-62157070 深圳爱康健口腔医院 0755-61302632
WhatsApp
WeChat
醫療劵咨詢
深圳市希玛爱康健口腔医院公众号

>>洗牙<<

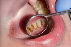
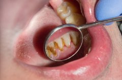
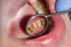
洗牙,是指用洁治器械去除牙龈上牙石、菌斑和色渍,并磨光牙面,以延迟菌斑和牙石再沉积。牙菌斑和牙结石是牙周病主要的局部刺激因素,洁治术是去除龈上菌斑和牙石的方法。爱康健齿科的超声洁牙手术方式通过高频振荡的超声波可以去除附着在牙齿上的牙结石、烟垢、茶垢、咖啡色素、牙菌斑等,对牙齿、牙龈没损伤,能防治牙周炎和龋齿,而且舒适。

成年人需要每年洗牙吗?深圳洗牙多少钱一次?爱康健超声波洗牙60元/次!

深圳爱康健口腔医院超声波保健洗牙60元/次,菌斑导向专业洗牙158元/次.香港长者医疗券指定牙科!成年人每年应至少进行一次专业洗牙.洗牙不仅能去除日常刷牙无法清除的牙菌斑和牙结石,还能预防牙龈炎,牙周病和蛀牙等常见口腔问题.牙周病与全身健康密切相关,可能增加心脏病,糖尿病等慢性疾病的风险.因此,定期洗牙不仅是维护牙齿美观的手段,更是预防性医疗的重要一环.大多数人每年应洗牙1-2次,具体频率可根据个人口腔状况和牙医建议调整......

8572 2026-02-10

超声波洗牙会伤牙吗?深圳爱康健口腔医院超声波洗牙多少钱?长者医疗券能用吗?

深圳爱康健口腔医院(香港热线6215 7070)超声波保健洗牙60元/次,支持使用香港长者医疗券!在正规牙科机构的专业操作下,超声波洗牙是一种安全,高效的清洁手段,其能量主要作用于坚硬的牙结石,而非牙齿本身,因此不会损伤牙釉质......

8952 2026-02-09

牙齿黄洗牙有效果吗?深圳洗牙多少钱一次?爱康健喷砂洗牙158元起/次!

深圳爱康健口腔医院(香港热线6215 7070)菌斑导向专业洗牙158元/次,超声波保健洗牙60元/次.支持使用香港长者医疗券!外源性着色主要指附着在牙齿表面的色素沉淀,如长期饮用咖啡,茶,红酒,或吸烟,食用深色食物导致的牙面色斑.对于这类情况,洗牙确实可以有效改善,尤其是喷砂洗牙能更完整地清除这些表面色素......

8160 2026-02-03

洗牙能把蛀牙面洗掉吗?深圳洗牙价格费用多少钱?爱康健保健洗牙60元/次!

深圳爱康健口腔医院(香港热线6215 7070)新年洗牙可享超声波保健洗牙60元/次,菌斑导向专业洗牙158元/次.支持使用香港长者医疗券!洗牙更多是一种预防性措施.定期洗牙能维护口腔健康,配合日常刷牙和使用牙线,可以减少蛀牙和牙周问题的发生.建议每6-12个月进行一次洗牙,尤其对于饮食偏好甜食或口腔卫生习惯不佳的人群......

8120 2026-01-29

牙结石洗掉后,牙齿会不会更容易脏?深圳洗牙多少钱一次?爱康健超声波洗牙60元/次!

深圳爱康健口腔医院(香港热线6215 7070)新年超声波保健洗牙60元/次,菌斑导向专业洗牙158元/次.支持使用香港长者医疗券!规范的洗牙后,牙齿本身并不会变得更"易脏",反而为保持长期清洁奠定了更佳的基础......

8170 2026-01-23

如何自查牙齿问题?深圳洗牙哪家好?洗牙多少钱一次?推荐二级口腔专科爱康健口腔医院!

深圳爱康健口腔医院(香港专线6215 7070)超声波保健洗牙60元/次,菌斑导向专业洗牙158元/次.支持使用香港长者医疗券!日常生活中,可以通过一些简单的方法初步评估自己的口腔健康状况:健康牙龈呈粉红色,质地坚韧.如果牙龈呈现鲜红或暗红色,伴有肿胀,松软,或在刷牙,使用牙线时容易出血,这通常是牙龈炎的初期信号......

8853 2026-01-19

医生推荐

预约挂号

*就診項目:
*您的姓名:
*您的電話:
*就診地區:
*就診日期:
*就診时间:
重填

深圳爱康健口腔医院版权所有

本网站信息仅供参考,不能作为诊疗及医疗依据

营业时间:9:00-18:00(节假日照常上班)

香港电话:00852-62157070

深圳电话:0075-61302632

微信小程序:爱康健齿科

爱康健口腔医院网站:https://m.ckj1000.com/

总院地址:南湖街道建设路罗湖火车站大楼C区1-8楼

粤ICP备12058131号-4

粤 (B)广[2025]第07-29-1076号

首頁 价格表
客服
掛號 電話

在線預約

*就診項目:
*您的姓名:
*您的電話:
*就診地區:
*就診日期:
*就診时间:
重填