關閉

深圳爱康健口腔医院 00852-62157070 深圳爱康健口腔医院 0755-61302632
WhatsApp
WeChat
醫療劵咨詢
深圳市希玛爱康健口腔医院公众号

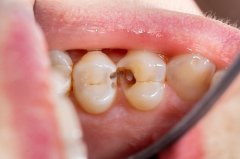
>>龋齿<<

龋齿俗称虫牙、蛀牙,是细菌性疾病,可以继发牙髓炎和根尖周炎,甚至能引起牙槽骨和颌骨炎症。如不及时治疗,病变继续发展,形成龋洞,终至牙冠完全破坏消失,其发展的结果是牙齿丧失。龋病特点是发病率高,分布广。爱康健引进根管治疗设备,将国内口腔根管治疗带入“显微可视化时代”,提升了治疗的安全性和效果;严格遵循美国牙科协会(ADA)和中国国家卫生监督机构的双重操作规范,15道消毒程序严格质量管理,确保全程无菌操作。

蛀牙继发龋的治疗方法有哪些?深圳爱康健口腔蛀牙补牙费用多少钱一颗?

深圳爱康健口腔医院及连锁门诊新诊患者常规树脂补牙首颗半价,杜牙根1500元起/颗,生物合金烤瓷牙880元/颗.继发龋是指在原有修复体(如充填物,嵌体或冠部修复)边缘或下方新发生的龋坏现象.其治疗需结合龋坏程度,牙髓健康状况及修复体的完整性进行评估,常见治疗方法包括重新充填治疗,嵌体与贴面修复,根管治疗,全冠修复......

9108 2025-10-07

蛀牙初期點發現?深圳補牙幾錢?愛康健口腔常規樹脂補牙價錢7折(原價300元/顆)!

深圳愛康健口腔醫院及11間連鎖門診補牙價錢:常規樹脂補牙7折(原價300元/顆),其他補牙8折(限非牙髓治療)!健康的牙齒呈淡黃色且表面通透有光澤.早期蛀牙時,牙齒表面可能會出現白堊色

5148 2025-06-16

蛀牙應該補牙還是杜牙根?深圳愛康健口腔補牙/杜牙根價錢收費幾多一隻?

深圳愛康健口腔醫院及連鎖門診推出常規樹脂補牙6折(原價300元一顆),其他補牙治療7折(非牙髓治療),顯微根管治療前牙2000元起每顆,後牙3000元起每顆;根管治療熱牙膠充填前牙1500元起每顆

3169 2025-02-21

拔一顆爛掉的蛀牙多少錢?愛康健齒科深圳羅湖非智齒拔牙8折收費!醫療券可用?

愛康健拔牙價錢?非智慧齒拔牙8折!一般來說拔牙幾百塊到上千塊不等,因每個人的牙齒情況不同,且就診的牙科機構和醫生選擇不同,拔牙的整體費用也會有所差異.另外拔牙的位置,拔牙的難

2273 2024-10-11

蛀牙為什麽要補?補後可以洗牙嗎?深圳愛康健牙科洗牙及補牙價錢及預約?

補牙後一般來說都是可以洗牙的.不少小夥伴會擔心會不會把補牙材料沖掉,其實這種顧慮沒有要啦!因為洗牙只是清除掉牙齒表面的牙結石牙菌斑,在補牙前,醫生就已經把患牙上的汙垢給清

2284 2024-08-06

深圳爱康健齿科中心|龋齿需要怎么治疗?

深圳牙科医院28年老字号品牌爱康健小编了解到,龋齿又称蛀牙,一旦发生龋齿,一定要及时治疗,否则病情会继续发展,如果发展成深龋,治疗难度更大,治疗时间更长。

169 2023-06-13

医生推荐

预约挂号

*就診項目:
*您的姓名:
*您的電話:
*就診地區:
*就診日期:
*就診时间:
重填

深圳爱康健口腔医院版权所有

本网站信息仅供参考,不能作为诊疗及医疗依据

营业时间:9:00-18:00(节假日照常上班)

香港电话:00852-62157070

深圳电话:0755-61302632

微信小程序:爱康健齿科

爱康健口腔医院网站:https://m.ckj1000.com/

总院地址:南湖街道建设路罗湖火车站大楼C区1-8楼

粤ICP备12058131号-4

粤 (B)广[2025]第07-29-1076号

首頁 价格表
客服
掛號 電話

在線預約

*就診項目:
*您的姓名:
*您的電話:
*就診地區:
*就診日期:
*就診时间:
重填